
The Siskiyou Smiles Dental Prevention Program offers your child the opportunity to receive dental preventive treatments at little or no cost to you through their school. The Kids Smile program will provide a visual dental health screening, oral health education, fluoride varnish, sealants, and silver fluoride to teeth when appropriate. These practices reduce tooth decay and help your child develop good dental health habits. A referral of findings and treatment provided will be sent home after each visit. A visual dental screening is not a diagnosis or a treatment plan, and serious oral health problems may be overlooked. If you have concerns, or your child is experiencing dental pain, you will need to make an appointment with a dentist for a comprehensive examination. To schedule an exam in Grants Pass, call (541) 479-6393. To schedule in Cave Junction, call (541) 592-4111.
Dental health education and preventive treatments are important! The 2017 Oregon Smile Survey found that a little more than half of children, ages 6 to 9 already had a cavity, and one in five had untreated decay in their permanent teeth. Dental disease, if left untreated, can cause pain, infection, loss of teeth, and can lead to chronic health problems later in life. The survey is also a reminder that cavities are 100% preventable.
This program is open to ALL children, regardless of income or insurance status. If you would like your child to participate you can return the form to your child’s school, or sign up online by following the link to the registration form at the top of the page.
What is a dental screening (Teeth Checkup)?
A dental professional will look in the mouth to check for changes in teeth that may indicate cavities or other oral health problems. This is a visual examination only and does not replace the need to see a dentist twice a year.
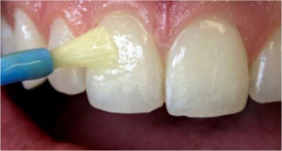
What is fluoride varnish?
Fluoride varnish is a temporary protective coating of fluoride that is applied on the front surfaces of the teeth. It is sticky and brushes off with a toothbrush after 24 hours. Fluoride varnish can help prevent cavities and strengthens tooth enamel. It is safe and can even be used on babies from the time of their first tooth.

What are dental sealants?
A dental sealant is a thin white coating that is put on the chewing surface (pits and fissures) of the back teeth where cavities occur most often. Sealants create a barrier on the teeth that can prevent bacteria from causing cavities.


What is silver fluoride?
Fluoride with silver is painted on baby teeth with a brush and can stop early tooth decay. It goes on quickly and does not hurt. If there are cavities in the mouth, silver fluoride can stop them from growing. The cavity part of the tooth will turn dark brown or black, the healthy part of the tooth will not change color. If the color shows a lot, a dental professional can cover it with white filling material.
Risk(s): If Silver fluoride comes into contact with skin, it will cause a small dark spot that will go away in 1-2 weeks. If it comes into contact with an existing white filling or clothing, it will stain.


Additional Dental Services at Siskiyou Community Health Center







